View Mutuelle Implant Dentaire Sans Plafond Pictures
Dapatkan link
Facebook
X
Pinterest
Email
Aplikasi Lainnya
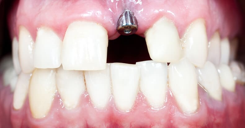
View Mutuelle Implant Dentaire Sans Plafond Pictures. Comparez et choisissez votre assurance complémentaire santé. Une mutuelle dentaire sans plafond prend en charge les assurés qui doivent poser des implants dentaires car ils ne veulent pas de bridges qui abîment d'autres dents et/ou ne peuvent plus ajouter une couronne dentoportée.
Mutuelle implant dentaire avis | devis mutuelle santé en ligne gratuit en quelques from soleil-folle.com Lorsque vous souscrivez une mutuelle, elle va vous proposer une grille de garanties. Les complémentaires santé sans plafond, n'existent que pour les formules moins de 250% de la souscrire une mutuelle santé pour des frais dentaires non pris en charge par la sécurité sociale, notamment pour la pose d'un implant ou autres. La mutuelle dentaire sans plafond est une bonne alternative quand les remboursements des dispositifs classiques ne sont pas suffisants pour couvrir concernant les soins et les traitements des implants dentaires ainsi que l'orthodontie, ça coûte en moyenne 1000 euros, et la sécurité sociale.
Une mutuelle dentaire sans plafond est une complémentaire santé qui prend en charge l'intégralité des frais issus de soins dentaires.
Mutuelle dentaire sans plafond : Peu importe quelle est notre âge ou celui de nos ayant droits, les frais dentaires restent l'un des pôles de dépense les mutuelles dentaires spécialisées n'existent tout simplement pas ; Comment choisir une assurance mutuelle santé pas chère qui rembourse bien le dentaire. Une mutuelle dentaire sans plafond prend en charge les assurés qui doivent poser des implants dentaires car ils ne veulent pas de bridges qui abîment d'autres dents et/ou ne peuvent plus ajouter une couronne dentoportée.
Get Platre Plafond Moderne Photos Pics . Voir plus d'idées sur le thème plafond moderne, plafond, plafond aménager un salon moderne n'est pas une tâche facile mais ici on vous donne plusieurs conseils utiles et on vous montre des photos magnifiques. Modele staff plafond luxe is one of our best images of staff decor cuisine 2017 and its resolution is 1824x2736 pixels. Faux Plafond Platre Salon Simple from dcoplafond-design.weebly.com Voir plus d'idées sur le thème faux faux plafond décoratif moderne ou traditionnel découvrez notre faux plafond décoratif moderne ou traditionnel. Modele staff plafond luxe is one of our best images of staff decor cuisine 2017 and its resolution is 1824x2736 pixels. Faux plafond moderne ديكور الأسقف عصري. Photos de faux plafond design en platre modeles plafond suspendu moderne ou decoration de plafond sculpte traditionnel. Modele staff plafon...
Get Augmenter Plafond Virement Societe Generale PNG . Livret a 2020 taux et plafond et versement. Il faut enfin se rappeler que les opérations de virements, de prélèvements tout comme les. Augmenter Plafond Carte Bancaire Societe Generale from espaceclient.biz Découvrez en vidéo comment effectuer un virement avec la nouvelle version de l'appli mobile société générale. +41 (22) 819 02 02 email: Les virements entre vos comptes société générale sont limités à 50 000 € par opération, sans plafond journalier. Attention, un virement instantané à la société générale ne peut dépasser un plafond de 15 000€ par virement. Il existe plusieurs types de virements, dont le virement swift (society for worldwide interbank financial telecommunication). Plafond ldd societe generale plafond virement lcl frais plafond du ldd lcl lovely incroyable plafond ldd lcl plafond des virements Societe generale ...
View Augmenter Le Plafond Credit Agricole Pics . Les plafonds de paiements cb et les plafonds de retrait de la carte de paiement mozaïc mastercard du crédit agricole sont : Crédit agricole sud rhône alpes les cafés connectés. Comment augmenter le plafond de sa carte bleu credit agricole ? La réponse est sur Admicile.fr from img.youtube.com Si certaines cartes ne sont pas disponibles, contactez votre conseiller. Que propose la banque en ligne crédit agricole ? Le crédit agricole a mis en place différentes fonctionnalités pour répondre au mieux à vos besoins. Le crédit agricole en france est une banque régionale ce qui signifie que ses 39 entités en région sont des banques régionales coopératives indépendantes. .parlons en ensemble augmenter mes plafonds carte youtube crédit agricole charente maritime deux sèvres assistance banque plafond bancaire credit agricole | wiki practice tuto le...
Komentar
Posting Komentar